Mercury-Free Removal
What is Mercury-Free Removal?
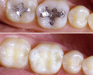
Mercury-free removal is a process of removing dental fillings that contain mercury without exposing the patient to harmful levels of the metal. This process is done by taking special precautions to minimize the release of mercury vapor during the removal process. The dentist will use a high-volume suction system to capture any mercury vapor and debris released during the procedure. They may also use a rubber dam to isolate the tooth being worked on and to prevent the patient from swallowing any particles. This removal is a safe and effective way to remove dental fillings, and it is especially important for individuals with allergies, sensitivities, or pre-existing health conditions that may be exacerbated by exposure to mercury.
Benefits Of Mercury-Free Removal
Safer for dental professionals and patients
Reduces exposure to harmful chemicals
Healthier option for pregnant women
Better for the environment
Uses composite fillings that look more natural
Reduces the risk of illnesses caused by mercury toxicity
Conscientiously removes amalgam fillings and uses non-toxic materials for restorations
Provides safe and healthy dental procedures
It can strengthen damaged teeth
Protocols During Removal Of Mercury
There are a few protocols that should be followed during the removal of mercury:
All dental amalgam fillings should be removed by our dentists who are trained in mercury-free removal techniques.
Our dentist must use a rubber dam to isolate the tooth being worked on and to prevent the patient from swallowing any particles.
The area should be well-ventilated, and a vacuum system should be used to collect the mercury-containing materials.
Any amalgamated teeth that are being removed should be kept cool to prevent the release of vapors.
All waste materials from the removal process should be disposed of properly in order to protect the environment.
The patient should be given an alternative source of air, such as a nasal mask, to prevent them from inhaling any mercury vapor.
Why Should You Get Mercury-Free Removal?
The use of mercury-free removal in dentistry offers a range of advantages for both patients and dental professionals. Not only does it reduce the risk of exposure to toxic substances, but it also eliminates the need for additional treatments that may be necessary with traditional methods.
In addition, as technology continues to advance, there are more options available than ever before that allow dental professionals to provide safe and effective removal services without sacrificing quality or time constraints. Ultimately, this makes mercury-free removal an excellent choice for those who prefer a safer alternative to traditional dentistry.
If you want to learn more about mercury-free removal, call us and we’ll answer all your questions.
